はしもと矯正歯科
大阪市城東区の歯並び矯正専門歯科
京阪本線「関目駅」より徒歩2分
地下鉄谷町線「関目高殿駅」より徒歩5分
平日(火・水・木)10:30-13:00/15:00-19:30 土曜・日曜(第1、第3)9:30-13:00/14:30-18:00 休診日:月曜・金曜・日曜(第2、第4、第5)祝日
子供の矯正治療
何歳から?どんな治療をするの?
一般的には乳歯と永久歯が混ざっている時期が適応時期だといわれていますが、矯正治療の開始時期は、お子様一人ひとり違ってきます。

ですが目安として、上の前歯が4本はえてきたら一度お口の中を拝見させていただきたく思います。

この時期に治療するのは歯並びだけではありません。

いくら歯をきれいに並べても、上下のアゴの位置のずれが大きいと、しっかりとかみ合わず、このことがあらゆる問題の原因となるからです。
そのためまずは上下のアゴの位置のずれを少なくすることがとても大切です。
子供の矯正治療では、まずマウスピースのようなもの(機能装置)や帽子のようなもの(ヘッドギアー、チンキャップ)を使い上下のアゴのバランスを整えながら、歯並びを正しい位置へ誘導していきます。

またそれと並行して、歯並びに影響する悪癖や生活習慣を改善することも重要です。
子供の成長と歯並び改善
大人の歯が生えそろうまでに気をつけること

歯磨き、食生活習慣の定義

大人の歯が全部はえるまで、歯磨き、食生活習慣の定着を目指します。
始めのうちは取り外しのできる装置を用いますが、段階を経ると、次は歯に一本一本装着する矯正装置(ブラケット)を使います。
ブラケットは取り外しのできない装置ですから、普段より歯磨きが難しくなります。
そのため、この時期に正しい歯みがき習慣を付けて頂くことがとても重要です。

当院では歯科衛生士が保護者の方とお子さまに、丁寧に歯みがき指導をさせて頂きます。

歯並びに影響する舌や唇の悪癖の早期改善

舌の動きや唇をかむ癖などが、歯並びの原因になることもあります。
例えばこんな「癖」はありませんか?

口呼吸
起きている時も寝ている時も常に口呼吸で、ポカンと口が開いている。
指しゃぶり
歯が生えかわる時期になっても指しゃぶりをしている。
唇を噛む
無意識に唇を噛んだり、巻き込んでいる。
舌で歯を押す
無意識に舌で歯を押してしまっている。舌のフチに歯型がついている。
爪を噛む
見た目はもちろん、歯並びだけでなく不衛生で健康にも悪影響があります。
頬杖をつく
顎の骨が成長過程にある時期のこの癖は要注意です。

状況によっては、これらの癖を改善するレッスンを行います。
大人の歯が全部はえてくるまでの間に、このような治療を行うと次の階段の治療が容易になります。

子供の矯正治療 症例のご紹介
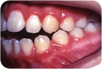
出っ歯(上顎前突)

上の前歯が前方にとびだしている状態です。原因としては色々ありますが、小さい頃の指しゃぶりが長く続くとこのような状態になる場合があります。このまま放置しておきますとますます出っ歯がひどくなる場合もあります。

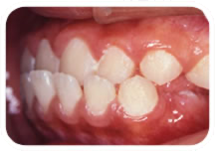
受け口(反対咬合)

上の前歯が下の前歯の後ろで噛んでいる状態です。
遺伝的なものであったり、無意識に下のあごを前に出す癖など原因は様々です。
このまま放置すると下のあごが前にのびやすい状態になります。

上と下の前歯があたらない(開咬)

奥歯を噛み合わせても、上下の前歯が開いていて、前歯で物を噛みきれない状態です。
舌で上下の前歯を押す癖があるとこのようになる可能性があります。 よくお子様の口元を観察して下さい。
このままの状態が長く続くと、ますます上下の前歯の距離が大きくなり、ものを噛みきれないのはもちろん、治療にも時間を要することになります。