はしもと矯正歯科
大阪市城東区の歯並び矯正専門歯科
京阪本線「関目駅」より徒歩2分
地下鉄谷町線「関目高殿駅」より徒歩5分
平日(火・水・木)10:30-13:00/15:00-19:30 土曜・日曜(第1、第3)9:30-13:00/14:30-18:00 休診日:月曜・金曜・日曜(第2、第4、第5)祝日
大人の矯正治療
今からでも遅くはありません

歯並びのせいで『虫歯にならないか?』『歯周病にならないか?』と心配されているあなた。
歯並びに『小さい頃からコンプレックスを持ち続けている』あなた。
矯正治療は『子供のうちに始めないといけないもの』だと思われているあなた。

今からでも遅くはありません。

もちろん、小さいうちに治療を開始しておく方がいいと言うのは事実ですが、思い立った時、それが人それぞれの治療開始時期です。

矯正治療は歯の周りの骨がしっかりしていれば何歳からでも治療は可能です。

また、悪い歯並びを放置することによって、年齢とともに虫歯、歯周病等のリスクも高くなります。
思い立った今こそ、早めにご相談にお越しください。

私たちは、歯並びをきれいにすることで、一人でも多くの方に明るく素敵な笑顔をご提供できればと考えています。

どのくらいの期間でキレイになるの?

治療期間は人により違います。

矯正治療においては、一概に「◯年でキレイになる」とは断言できません。

歯並びの状態だけでなく、その他の口腔トラブル、またその人人で生活リズム・習慣が違うからです。

まずは一度お口の状態を見させてください。

大人の矯正治療 症例のご紹介
受け口(反対咬合)

上の前歯が下の前歯の後ろで噛んでいる状態です。
このままの状態が続くと年齢とともに前歯の根が傷んでくる恐れがあります。

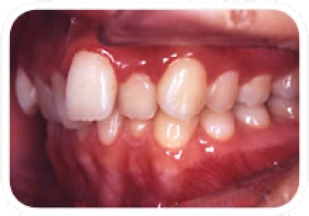
がたがた(叢生)

歯が並ぶ隙間がなくてガタガタの状態です。
特に歯が重なっている部分の歯みがきがしにくく、虫歯や歯周病のリスクが高まり、うまく物が噛めなかったりと色々な障害が生じてきます。